Наличие на зубах зубных отложений может стать причиной заболеваний полости рта. Внутри скапливаются болезнетворные бактерии, которые становятся источником инфекции.
Если не удалять мягкие частички пищи ежедневно, то они минерализуется, превращаясь в камень, охватывающий шейку зуба и негативно отражающийся на состоянии десен. Они начинают кровоточить, появляется неприятный запах и как следствие развивается пародонтит. Чтобы контролировать наличие налета, используется специальный индикатор. В интернете можно купить индикатор зубного налета у детей.
Необходимость использования
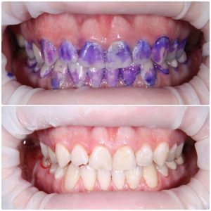
Под индикаторами зубного налета понимаются специальные составы веществ, которые при нанесении окрашивают зубные отложения. Видя это, человек предпринимает меры для устранения налета.
Нужно понимать, что когда человек ест, на поверхности зубов образуется невидимой пленкой. Она называется пелликулой, на которой и начинает строиться зубной камень.
Микроорганизмы, прикрепляясь к стенкам, начинают быстро размножаться. Они в процессе своей деятельности выделяют кислоты, разрушающие эмаль и запуская кариозные процессы. В результате зубы начинают разрушаться.
Чтобы избавиться от налета, нужно проводить чистку у стоматолога хотя бы два раза в год. Если говорить об индикаторах, то они используются для профилактики образования зубного камня. По своей форме они могут продаваться в виде:
- Таблеток. Ее нужно разжевать и распределить действующее вещество при помощи языка по всем зубам. При этом окраска налета будет разной. Старый сегмент получит насыщенный синий цвет, а свежий окрасится в нежно-розовый. Это позволит улучшить качество чистки зубов и решить проблему пока она не стала слишком сложной.
- Растворов. Ими просто полощут рот после чистки, чтобы понять, где нужно усилить обработку зубов, чтобы избавится от пленки.
Особенно важно проводить такую профилактику у детей. Ведь они начина чистить зубы самостоятельно не всегда делают это качественно.
Приобрести индикатор можно как в обычной библиотеке, так и заказав через интернет. При этом специалисты советуют выбирать составы без эритрозина и глютена.











