Хотя зубная эмаль является самой твердой тканью в организме человека, с течением времени и из-за плохого ухода за ней она может испортиться, подвергаясь различным видам повреждений. Одной из наиболее распространенных является кариес, вызванный бактериальным налетом, который мало-помалу продвигается внутрь зуба. Сейчас всегда открыта клиника лечение кариеса.-
Рацион с высоким содержанием сладких продуктов и недостаточная гигиена полости рта являются основными причинами кариеса во все более молодых группах населения. Знание того, как их избежать и как вовремя остановить, имеет первостепенное значение для поддержания зубов в идеальном состоянии.
-
Что такое полости?
-
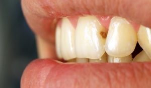
Бактерии, которые естественным образом обитают в полости рта, быстро развиваются в идеальных условиях, образуя так называемый бактериальный налет или зубную биопленку, и выделяют кислоты, которые повреждают зубную эмаль. Постепенно эти кислоты вызывают небольшие трещины или отверстия в зубной ткани, известные как кариес. Сейчас возможно удаление молочного зуба у детей цена которого указана в прайсе.
-
Полость – это поражение зуба, вызванное действием этих кислот, выделяемых бактериями, присутствующими в бактериальном налете. Это начинается с внешнего повреждения эмали, которое со временем проникает до дентина и может достигать пульпы или нерва зуба.
-
Согласно научным исследованиям, ткань зуба не регенерирует сама по себе, и любое повреждение зубной эмали необратимо. Если кариес не лечить вовремя, он может прогрессировать до такой степени, что вызывает повреждение нерва, например сильную боль, сильную инфекцию или потерю пораженного зуба.
Хотя кариесом чаще всего страдают молодые люди и взрослые, эта проблема может появиться в любом возрасте.Даже младенцы и дети с молочными зубами могут страдать от кариеса, который поражает не только молочные зубы, но и может иметь очень негативные последствия для постоянных зубов. Теперь всегда есть услуга установка виниров в москве. -
Что вызывает кариес?
-
Кариес является следствием действия бактериального налета на поверхности зубов. Бактерии, присутствующие в зубном налете, образуют невидимую пленку на эмали, способствуя ее прилипанию и развитию, если существуют правильные условия.
Есть много факторов, которые могут привести к кариесу, однако плохая гигиена полости рта и диета, богатая сладкими продуктами, являются одними из основных причин этого заболевания. -
Как лечить и вылечить кариес?
-
Как мы уже указывали, если зубная эмаль повреждена кариесом, она не может регенерировать или излечивать себя. По этой причине очень важно предотвратить кариес, прежде чем действовать против него.
-
Однако в настоящее время кариес является основной проблемой здоровья полости рта для населения в целом. Существует множество процедур, которые адаптируются к потребностям каждого пациента, и широкий выбор продуктов, дополняющих ежедневную гигиену полости рта.
-
Регулярно посещайте стоматолога — ранняя диагностика может иметь большое значение. Кроме того, он или она будет лучше, чем кто-либо другой, знать, как направить вас к наилучшему профилактическому уходу за полным здоровьем полости рта.
-
Зубная пломба для лечения кариеса
-
Стоматологическая пломба, известная как пломба, представляет собой стоматологическое лечение, которое состоит из удаления поврежденной ткани зуба и заполнения его пломбировочным материалом, который по твердости аналогичен натуральной эмали зуба, тем самым защищая сердцевину и дентин.Продукция KIN для профилактики кариеса
-
Для предотвращения появления кариеса у Laboratorios KIN есть специальная линия для защиты зубной эмали как у взрослых, так и у детей. FluorKIN идеально подходит для ежедневного ухода за полостью рта всей семьей.
Зубная паста FluorKIN Anticaries с содержанием фтора 1450 частей на миллион и детская зубная паста FluorKIN для самых маленьких членов семьи являются идеальным дополнением к чистке зубов.











