С приходом компьютерной эры появились новые технологии, позволяющие осуществлять мониторинг, диагностику и лечение стоматологических проблем быстрее, проще и тщательнее.
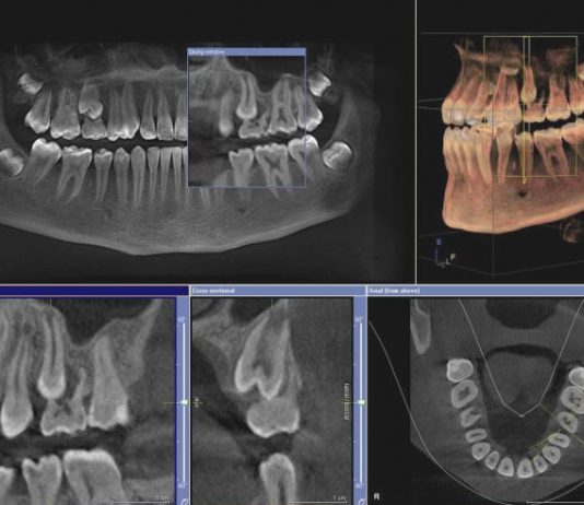
Сегодня трехмерная конусно-лучевая компьютерная томография (КЛКТ) является одним из таких достижений, ставших доступными для клинических стоматологов за последнее десятилетие. Более подробная информация об процедуре и что представляет томография на сайте https://томографиявл.рф.
Стоматологическая...
Такой симптом, как неприятный запах изо рта или галитоз, является признаком самых разных заболеваний ЖКТ или полости рта.
Игнорировать неприятный запах невозможно, ведь патология влияет на возможность свободного общения с другими людьми, а также может указывать на необходимость срочно приступить к лечению. Узнать больше и записаться на реабилитация орг можно...
ЭТО ВАМ ПРИГОДИТСЯ
Болезнь Паркинсона: диагностика и принципы терапии
Болезнь Паркинсона - хроническое заболевание центральной нервной системы, которое постоянно прогрессирует. Биологически, оно проявляется в постепенном ослаблении и уничтожении нейронов в сером веществе головного...
Разновидности фармацевтических холодильников
В чем разница между специализированным холодильником фармацевтического класса и обычным домашним холодильником, купленным в местном крупном магазине? dostykmed.kz дает очень четкие указания в своем...
Бобровая струя
Кастролеум, мускус бобра или бобровая струя активно применяется не только в народных рецептах, но и при производстве лекарственных препаратов. Это довольно ценный и востребованный...
Особенности скуловой имплантации Zygoma
Стоматология сегодня стремительно развивается и совершенствуется, предлагая своим пациентам всё более новые методы и способы лечения заболеваний.
Современная имплантация позволяет восстанавливать зубы даже в достаточно...
ПОДТЯЖКА ГРУДИ: ПОКАЗАНИЯ, ВОЗМОЖНОСТИ, РЕАБИЛИТАЦИЯ
Мастопексия, или подтяжка груди является сегодня одной из самых востребованных операций в пластической хирургии.
Грудь – это предмет гордости и достоинства для любой женщины, поэтому...
Почему так важно обрабатывать руки антисептиками?
Сегодня говорить о необходимости обработки рук антисептиком необходимо и важно. Мир оказался в такой опасной ситуации как пандемия вирусного заболевания, которое и передается в...

















