С приходом компьютерной эры появились новые технологии, позволяющие осуществлять мониторинг, диагностику и лечение стоматологических проблем быстрее, проще и тщательнее.
Сегодня трехмерная конусно-лучевая компьютерная томография (КЛКТ) является одним из таких достижений, ставших доступными для клинических стоматологов за последнее десятилетие. Более подробная информация об процедуре и что представляет томография на сайте https://томографиявл.рф.
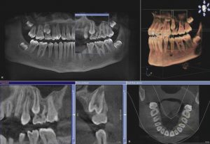
Стоматологическая 3-D томограграфия
Использование технологии конусного луча 3-D позволяет стоматологам визуализировать область головы или черепа в третьем измерении. Хотя трехмерная конусно-лучевая технология важна, она не заменяет и не сводит на нет необходимость в ценной, но ограниченной двухмерной рентгенографии. Эта новая технология предоставляет еще один инструмент, помогающий практикующим врачам улучшить их основанный на фактических данных подход к стоматологическому лечению и планированию лечения.
Внедрение этой технологии позволяет дополнительно визуализировать рассматриваемые области, предоставляя при этом больше данных, позволяющих лучше понять и интерпретировать варианты стоматологического лечения. Использование этой технологии выходит далеко за рамки традиционных методов диагностики. Можно создавать виртуальные челюстно-лицевые модели пациента, чтобы его зубную анатомию можно было реконструировать, просматривать и исследовать в нескольких плоскостях. С этими дополнительными данными стоматологи могут практиковать виртуальную хирургию до того, как будет оказано какое-либо стоматологическое лечение.
Преимущества 3-D томографии
Одно сканирование может захватить всю челюсть с достаточным полем зрения (FOV), чтобы обеспечить наилучшее изображение с наименьшим количеством лучевой нагрузки. С помощью этого сканирования врач может лучше измерить твердые ткани или толщину костей, а также увидеть мягкие ткани и найти нервные каналы. Этот дополнительный инструмент предоставляет еще один способ помочь пациенту поставить более четкий и точный диагноз и спланировать лечение в дополнение к более точному прогнозированию успеха лечения.
По мере того, как технология КЛКТ все больше используется в стоматологии, субъективная интерпретация стоматологических проблем исчезнет. По мере того, как стоматологические пациенты будут лучше осведомлены о своих возможностях, они будут лучше руководствоваться при принятии стоматологических решений. Стоматологические пациенты смогут сотрудничать со своим стоматологом и совместно устранять субъективную интерпретацию и принимать решение о наилучшем варианте лечения.
С достижениями в области рентгенографии и изменчивым характером технологии, которая становится все более доступной в стоматологической помощи, вероятно, это вопрос времени, когда эти инновации в области стоматологии станут стандартом лечения. Одно можно сказать наверняка: уровень стоматологического лечения продолжает улучшаться по мере того, как технологии объединяют усилия с практикующим врачом, чтобы обеспечить наилучшее лечение и результат для пациента.











