При несвоевременном лечении и диагностике бронхит (воспаление бронхов) может привести к серьезным поражениям всей системы органов дыхания. Следующими поражаются легкие (пневмония). Переходя из острого течения в хроническое, бронхит может развиться в бронхиальную астму. Она сопровождается внезапно наступающими признаками удушья.
Причин, вызывающих бронхит, много. К ним относятся:
общее переохлаждение человека;
...
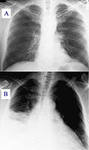
Чаще всего пневмония возникает как результат запущенного бронхита или вследствие снижения активности иммунной системы. Пневмония может начинаться по-разному, что часто сбивает больного с толку, заставляя предположить иные заболевания. В результате пневмония развивается незаметно, переходя в сложные и запущенные формы.
Пневмония может протекать латентно, с периодическими обострениями. Это характерно для хронической...
ЭТО ВАМ ПРИГОДИТСЯ
Нарколог на дом: реальная помощь в борьбе с алкогольной зависимостью
Алкоголизм – это серьезная болезнь, которая разрушает не только здоровье человека, но и его семью, работу и жизнь. Нередко зависимый человек отказывается от помощи,...
Сарафан: универсальный вид женской одежды
Чтобы хоть как-то уменьшить негативное воздействие летней жары, человек преимущественно носит лёгкую одежду. Если говорить о девушках, то многие из них предпочитают носить платья...
Онкология в Германии без посредников: лечение и диагностика рака
Большинство опухолей или патологических изменений, тяжело обнаружить на ранних стадиях, а выявленные болезни, оказываются в запущенном состоянии и требуют более сложного лечения. Отечественная медицина...
Что дает УФ лампа в увлажнителе воздуха?
Увлажнители воздуха с УФ-лампами часто представляют, как устройства, предназначенные для уничтожения вирусов и микроорганизмов в домашних условиях.
В эпоху нынешней пандемии SARS CoV-2 о них...
Что нужно знать о препарате Тералиджен Валента?
Тералиджен Валента — это седативное и противотревожное средство, которое используется для лечения различных расстройств у детей, включая тревожные состояния, нарушения сна и повышенную возбудимость....
Как выбрать косметологическое кресло в интернет магазине Бьюти Престиж?
Правильное оснащение косметологического кабинета, не только упрощает работу специалиста, но и позволит клиенту с комфортом перенести продолжительные процедуры. Косметологическое кресло является основным элементом, на...
Человек может сравнительно долго прожить без пищи, несколько меньше — без воды, но вот без воздуха… не больше нескольких минут, да и то такой результат достигается тренировками. Поэтому здоровье органов дыхания (легких и бронхов), наряду со здоровьем сердца — два важнейших условия хорошего самочувствия и долголетия.
















